Nos archives

Installation et formation LOGOSw Toulon

Installation et formation de 3 heures du logiciel dentaire LOGOSw, pour la gestion numérique d’un cabinet dentaire à Toulon 83

Meditec Dental a réalisé à Toulon l’installation complète du logiciel dentaire LOGOSw, solution de référence pour la gestion numérique des cabinets dentaires. Cette prestation a permis d’équiper le cabinet d’un système performant, fiable et adapté aux besoins du praticien et de son équipe. L’insta...
En savoir plus
X-MIND Optima 3D – Acteon

Acteon X-MIND Optima 3D : imagerie CBCT haute précision et polyvalente pour diagnostics dentaires et chirurgicaux avancés

Le X-MIND Optima 3D est un système d’imagerie CBCT de dernière génération, conçu pour les cabinets dentaires qui souhaitent allier précision diagnostique, polyvalence clinique et intégration aisée dans l’espace. Grâce à une conception ultra-compacte (environ 69 kg) et au concept « zero-footprint »...
En savoir plus
Avis google Meditec Dental

Docteur Ingrid COLLINET donne son avis Google 5 étoiles – satisfaction totale pour les services informatiques et d'imagerie de Meditec Dental Oraison (04) ★

Très sympathique et efficace. Merci ;-) Un client pleinement satisfait témoigne de sa reconnaissance envers Meditec Dental pour un service rapide, professionnel et attentif. Il met en avant la qualité du matériel informatique et d’imagerie, la réactivité de l’équipe technique ainsi que la fiabi...
En savoir plus
Installation matériel cabinet dentaire Marseille Bouches-du-Rhône 13

Installation matériel cabinet dentaire Marseille Aix en Provence Miramas Istres La Ciotat Aubagne Vitrolles Rognac Bouches-du-Rhône 13

Meditec Dental est une entreprise experte dans l'installation de matériel dentaire et ma vente d’équipements professionnels pour cabinets dentaires et de matériel informatique adapté au secteur médical. Notre équipe met à votre disposition son savoir-faire pour vous accompagner dans le choix des é...
En savoir plus
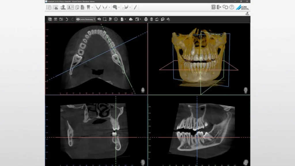
Durr Dental VistaSoft
Nouveautés

Durr Dental VistaSoft Imaging : logiciel d’imagerie complet, intuitif et connecté pour une gestion centralisée et sécurisée des cabinets dentaires

Le logiciel VistaSoft Imaging s’impose comme une solution complète pour la gestion de l’imagerie numérique au sein des cabinets dentaires. Il couvre l’ensemble des besoins, depuis la radiographie 2D/3D jusqu’aux caméras intra-orales, en passant par l’échange sécurisé via le cloud. L’interface a ét...
En savoir plus
Meditec Dental Installateur de cabinet dentaire

Installation informatique complète, réseau, sauvegarde et logiciel LOGOSw dans un cabinet dentaire à Aimargues dans le Gard

Meditec Dental a réalisé une installation informatique complète au sein d’un cabinet dentaire à Aimargues (30470), intégrant à la fois la puissance, la sécurité et la fiabilité nécessaires à l’activité quotidienne d’un praticien. Le cœur du système repose sur un serveur Intel Core i7-13700F, équip...
En savoir plus
Formation LOGOSw
Nouveautés

Installation et formation du logiciel dentaire LOGOSw, pour la gestion numérique d’un cabinet dentaire à La Roquette-sur-Siagne (06)

L’intervention au cabinet de La Roquette-sur-Siagne 06 a consisté en l’installation complète du logiciel LOGOSw ainsi qu’en une session de formation dédiée pour l’équipe. Après avoir installé et configuré LOGOSw sur le réseau du cabinet, le paramétrage a été effectué : création des comptes utilisa...
En savoir plus
Meditec Dental installateur de cabinets dentaires

Meditec Dental, expert en informatique dentaire, garantit confidentialité et sécurité totale des données des chirurgiens-dentistes et orthodontistes

Meditec Dental est une entreprise spécialisée exclusivement dans les solutions informatiques et d’imagerie dentaire destinées aux chirurgiens-dentistes et orthodontistes. Cette spécialisation lui permet d’offrir un service parfaitement adapté aux exigences cliniques, techniques et réglementaires d...
En savoir plus
ADF 2025 Meditec Dental

Participation de Meditec Dental au congrès ADF 2025, présentation des innovations en informatique et imagerie dentaire

Meditec Dental participera au Congrès ADF 2025, l’événement incontournable du secteur dentaire en France, réunissant chaque année des milliers de chirurgiens-dentistes, prothésistes et fabricants autour des dernières innovations technologiques et cliniques. Cette nouvelle édition, placée sous le s...
En savoir plus
Installation de 2 pc dans un cabinet d'orthodontie à Aix en Provence

Installation de deux PC performants pour la gestion patient et l’imagerie numérique dans un cabinet d’orthodontie à Aix-en-Provence

Meditec Dental a réalisé l’installation de deux PC professionnels dans un cabinet d’orthodontie à Aix-en-Provence, afin d’optimiser la gestion informatique et le confort de travail quotidien des praticiens. Ces postes, conçus pour un usage intensif, intègrent des composants de dernière génération ...
En savoir plus
Durr Dental VistaVox 3D

Installation du panoramique 3D Dürr Dental VistaVox S – imagerie haute précision et faible dose à Salon-de-Provence

Meditec Dental a réalisé l’installation complète d’un panoramique 3D Dürr Dental VistaVox S au sein d’un cabinet dentaire à Salon-de-Provence. Cet équipement de dernière génération associe diagnostic haute précision, efficacité opérationnelle et réduction significative de la dose de rayonnement, r...
En savoir plus
Cabinet dentaire à Ollioules 83 Entrée

Installation complète d’un cabinet dentaire à Ollioules – 4 PC, 1 serveur, logiciel LOGOSw et panoramique 3D

Meditec Dental a réalisé l’installation complète d’un cabinet dentaire à Ollioules, intégrant à la fois l’informatique, le logiciel LOGOSw et l’imagerie 3D. Ce projet comprenait la mise en place de 4 postes informatiques reliés à un serveur sécurisé, garantissant une gestion fluide et fiable de l’...
En savoir plus
Sirona SL

Panoramique CBCT 3D Sirona Orthophos SL – imagerie dentaire de précision, champ 8×8 optimisé pour implantologie Marseille

Passez à l’imagerie 3D pour bénéficier des fonctionnalités supplémentaires suivantesVolume d’image (dxh) : 5 cm x 5,5 cm à 8 cm x 8 cmMARS : réduction des artefacts métalliquesFaible dose 3DMode HDPour la plupart des cabinets, les principaux objectifs lors de l’utilisation d’un appareil à rayons X...
En savoir plus
Vatech marseille aix en provence sserenity

Panoramique 3D Vatech Green 2 – imagerie haute définition, faible dose, confort patient et précision à Marseille

Le Vatech Green 2 est un scanner dentaire 3D dernière génération conçu pour répondre aux exigences des chirurgiens-dentistes et des implantologues recherchant précision et sécurité. Cet équipement 4-en-1 combine les fonctions CBCT, panoramique, cephalométrique et model scan, offrant ainsi une solu...
En savoir plus
Avis google Meditec Dental

Docteur Hugo RICCI donne son avis Google 5 étoiles – satisfaction totale pour les services informatiques et d'imagerie de Meditec Dental Marseille ★

Que de bons retours à faire.En quelques mots il cerne vos besoins.Il est d'une efficacité et rapidité telle que je ne peux que vous dire d'y aller les yeux fermés.Je recommande
Un client pleinement satisfait témoigne de sa reconnaissance envers Meditec Dental pour un service rapide, professionnel ...
En savoir plus
Avis google Meditec Dental

Le centre dentaire Canebierre donne son avis Google 5 étoiles – satisfaction totale pour les services informatiques et d'imagerie de Meditec Dental Marseille ★

Tout simplement parfait!! Réparation de notre panoramique qui était, selon un grand groupe américan, bonne pour la casse... 
 Un client pleinement satisfait témoigne de sa reconnaissance envers Meditec Dental pour un service rapide, professionnel et attentif. Il met en avant la qualité ...
En savoir plus
Avis google Meditec Dental

Docteur David HARROUS donne son avis Google 5 étoiles – satisfaction totale pour les services informatiques et d'imagerie de Meditec Dental Issy les Moulineaux (92) ★

Excellente société. Installation et formation claires et précises. Bon suivi après mise en service du logiciel. Je recommande 
 Un client pleinement satisfait témoigne de sa reconnaissance envers Meditec Dental pour un service rapide, professionnel et attentif. Il met en avant la qualit...
En savoir plus
Avis google Meditec Dental

Docteur Aymeric BACQUERRE donne son avis Google 5 étoiles – satisfaction totale pour les services informatiques et d'imagerie de Meditec Dental La Cole sur Loup 06 ★

Installation parfaite de mon logiciel, trés réactif, trés professionnel. A su répondre à toutes mes questions.
Je recommande +++ 
 Un client pleinement satisfait témoigne de sa reconnaissance envers Meditec Dental pour un service rapide, professionnel et attentif. Il met en avant la qua...
En savoir plus
Avis google Meditec Dental

Docteur Karinne VILATTE donne son avis Google 5 étoiles – satisfaction totale pour les services informatiques et d'imagerie de Meditec Dental Marseille ★

Professionnel et agréable, disponibilité rare en cas de souci .
Je recommande à 100%.
 
 Un client pleinement satisfait témoigne de sa reconnaissance envers Meditec Dental pour un service rapide, professionnel et attentif. Il met en avant la qualité du matériel informatique et d’imageri...
En savoir plus
Avis google Meditec Dental

Docteur Olivier DAYEZ donne son avis Google 5 étoiles – satisfaction totale pour les services informatiques et d'imagerie de Meditec Dental Marseille ★

Réactivité et professionnalisme ! Je recommande sans hésiter 
 Un client pleinement satisfait témoigne de sa reconnaissance envers Meditec Dental pour un service rapide, professionnel et attentif. Il met en avant la qualité du matériel informatique et d’imagerie, la réactivité de l’équi...
En savoir plus
Avis google Meditec Dental

Docteur Elodie SEBBAG donne son avis Google 5 étoiles – satisfaction totale pour les services informatiques et d'imagerie de Meditec Dental à Marseille ★

Une très grande compétence alliée à une disponibilité et un professionnalisme exemplaires ! J’ ai trouvé en Meditec Dental un partenaire hors pair pour m’ accompagner dans mon évolution professionnelle 
 Un client pleinement satisfait témoigne de sa reconnaissance envers Meditec Dental ...
En savoir plus
Avis google Meditec Dental

Docteur Philippe BUI donne son avis Google 5 étoiles – satisfaction totale pour les services informatiques et d'imagerie de Meditec Dental Aubagne ★

Réactif et efficace. Problème de lecteur de carte vitale résolu à distance en quelques minutes. Merci 
 Un client pleinement satisfait témoigne de sa reconnaissance envers Meditec Dental pour un service rapide, professionnel et attentif. Il met en avant la qualité du matériel informat...
En savoir plus
Avis google Meditec Dental

Docteur Nelly BRUHIN donne son avis Google 5 étoiles – satisfaction totale pour les services informatiques et d'imagerie de Meditec Dental Cabries ★

Réactif professionnel compétent et sympathique .
Que demander mieux ? 
 Un client pleinement satisfait témoigne de sa reconnaissance envers Meditec Dental pour un service rapide, professionnel et attentif. Il met en avant la qualité du matériel informatique et d’imagerie, la réactivité ...
En savoir plus
Avis google Meditec Dental

Docteur Nicolas ROMANO donne son avis Google 5 étoiles – satisfaction totale pour les services informatiques et d'imagerie de Meditec Dental Pertuis 84 ★

Meditec dental nous a changé la panoramique l'année dernière , toujours réactif quand il y a un problème informatique au cabinet. 
 Un client pleinement satisfait témoigne de sa reconnaissance envers Meditec Dental pour un service rapide, professionnel et attentif. Il met en avant la qu...
En savoir plus
Avis google Meditec Dental

Docteur Antonietta BORDONNE donne son avis Google 5 étoiles – satisfaction totale pour les services informatiques et d'imagerie de Meditec Dental Marseille ★

Merci Olivier pour votre réactivité et votre professionnalisme ;-) 
 Un client pleinement satisfait témoigne de sa reconnaissance envers Meditec Dental pour un service rapide, professionnel et attentif. Il met en avant la qualité du matériel informatique et d’imagerie, la réactivité de ...
En savoir plus