1. Accueil
  2. Imagerie
  3. Extra Oral
  4. Owandy QuickVision 3D : logiciel de planification implantaire précis, intuitif et complet pour une chirurgie guidée en toute confiance
Retour
Owandy Quickvision

Owandy QuickVision 3D : logiciel de planification implantaire précis, intuitif et complet pour une chirurgie guidée en toute confiance

Marque Owandy

4 fonctionnalités majeures pour toutes les pratiques

Owandy QuickVision 3D intègre tous les modules essentiels pour une planification implantaire complète et précise, vous permettant de réaliser efficacement vos projets prothétiques.

Grâce à son système ouvert, compatible Windows et macOS, vous pouvez préparer vos chirurgies sans perte de temps et intégrer aisément vos outils numériques existants.

Le logiciel offre la possibilité de positionner vos implants avec précision, de superposer vos empreintes optiques et de concevoir vos guides chirurgicaux personnalisés.

Owandy QuickVision 3D devient ainsi un outil central de votre flux numérique, combinant simplicité, flexibilité et performance pour une chirurgie guidée sécurisée et maîtrisée.

1 - Panoramique dentaire 2D et Cone beam 3D 
2 - Avec un système ouvert
3 - Export pour impression
4 - Calculé et visualisé

Planifiez votre projet prothétique

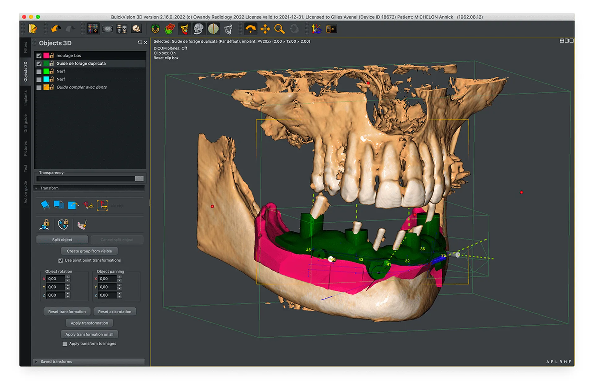
Quickvision 3D est un outil numérique, permettant de préparer la chirurgie implantaire guidée, mais aussi la visualisation et l'étude de fichier cone beam.

Il vous permettra de définir les types d'implants et leurs spécifications en choisissant dans une large bibliothèque ou en le créant simplement.
Vous pouvez également importer des radios panoramiques 2D, des prises d'empreintes optiques numériques, des numérisations de porte-empreintes et autres moules en plâtre.

Wax-up digital
Le logiciel procède à la superposition des deux objets 3D.

Cet alignement facilitera et apportera de la précision dans la conception du guide chirurgical lors des étapes suivantes grâce à l'intégration des tissus mous sur le modèle.

Création de guides chirurgicaux.
Le but premier de ce guide est d’aider l’implantologue à préserver les structures anatomiques des maxillaires, mais aussi lui permettre de réaliser une mise en charge et esthétique immédiate tout en étant moins invasif.

Cette technique innovante permet de poser les implants dentaires au moyen d’un guide confectionné numériquement et ne déroge pas à la règle de base de l’implantologie moderne où le projet prothétique pilote la position de l’implant et donc la chirurgie.

Étude des voies respiratoires
Owandy Radiology rend l'étude des voies respiratoires accessible depuis votre logiciel QuickVision 3D !

Partager :
Nous écrire
Les champs indiqués par un astérisque (*) sont obligatoires
À découvrir
Meditec Dental Owandy iMax 3D XPRO à Marseille 13

Owandy I-Max 3D XPRO : Cone Beam CBCT 4-en-1 pour une imagerie dentaire précise, polyvalente et performante

L’ I-Max 3D XPRO est un système Cone Beam 4-en-1 polyvalent offrant une imagerie dentaire d’une précision remarquable.
En savoir plus
Panoramique Owandy I-Max 2D
Nouveautés

Owandy I-Max 2D : panoramique dentaire mural compact offrant une imagerie haute définition et un flux de travail optimisé

Le modèle I-Max PRO est une unité panoramique dentaire de nouvelle génération, conçue pour répondre aux exigences des cabinets dentaires.
En savoir plus
Owandy I-Max 3D XPRO Ceph Meditec Dental à Marseille 13
Nouveautés

Owandy I-Max 3D XPRO Ceph : système Cone Beam 4-en-1 pour une imagerie dentaire 3D et céphalométrique ultra-précise

Owandy I-Max 3D XPRO Ceph : nouvelle génération de panoramique dentaire céphalométrique offrant une qualité d’image inégalée et une précision diagnostique exceptionnelle
En savoir plus