1. Accueil
  2. Une Question ?
  3. Installation du panoramique 3D Durr Dental VistaVox S – imagerie haute précision et faible dose à Salon-de-Provence
Retour

Installation du panoramique 3D Durr Dental VistaVox S – imagerie haute précision et faible dose à Salon-de-Provence

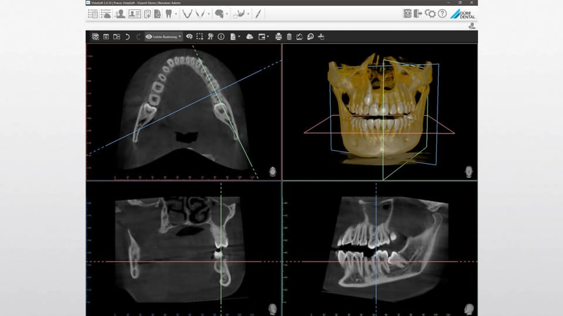
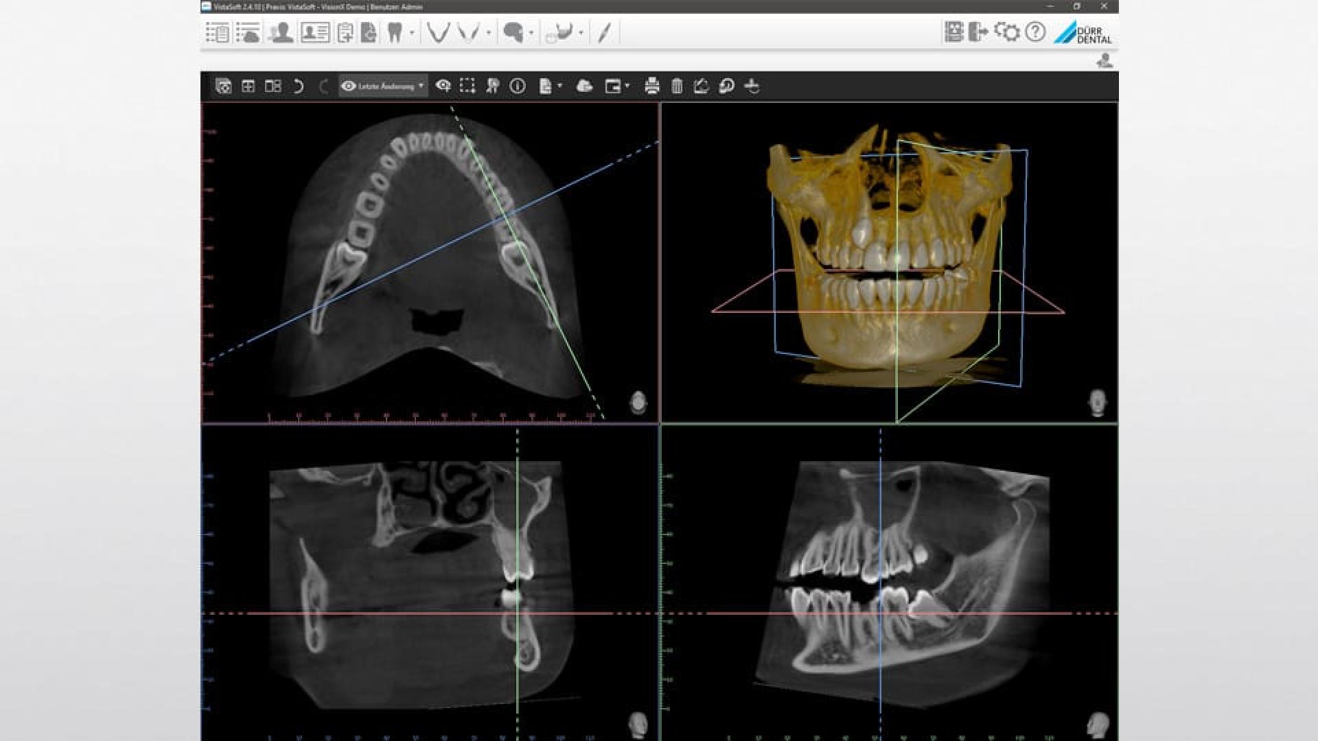
Meditec Dental a réalisé l’installation complète d’un panoramique 3D Durr Dental VistaVox S au sein d’un cabinet dentaire à Salon-de-Provence. Cet équipement de dernière génération associe diagnostic haute précision, efficacité opérationnelle et réduction significative de la dose de rayonnement, répondant ainsi aux exigences les plus strictes en matière de radiologie dentaire moderne.

Le CBCT Durr Dental VistaVox S se distingue par son volume d’acquisition optimisé pour l’anatomie humaine, offrant une représentation exacte de la zone maxillaire. Grâce à ses champs de vision variables (Ø130×85 à Ø50×50), il s’adapte parfaitement à tous les types d’examens — de la simple dent à l’ensemble de l’arcade. Livré avec un PC de reconstruction 3D performant, il garantit une visualisation fluide et rapide des images, facilitant ainsi le diagnostic et la planification implantaire.

Le projet comprenait également la reprise de l’ancienne panoramique, la calibration complète, la configuration du matériel existant, ainsi que des tests de validation pour assurer une mise en service optimale.

Grâce à cette installation, Meditec Dental confirme son savoir-faire en imagerie 3D dentaire et son engagement à fournir des solutions fiables, performantes et sécurisées aux cabinets dentaires de la région PACA, garantissant confort, précision et productivité au quotidien.

Partager :
Nous écrire
Les champs indiqués par un astérisque (*) sont obligatoires
À découvrir
Durr Dental VistaVox S 3D Meditec Dental à Marseille 13

Durr Dental VistaVox S 3D : Cone Beam CBCT avec module Ceph et champ volumique étendu de Ø 130 × 85 mm

Le diagnostic 3D évolue avec un volume de Cone Beam le plus large du marché Ø 130 x 85 mm
En savoir plus
Meditec Dental Owandy iMax 3D XPRO à Marseille 13

Owandy I-Max 3D XPRO : Cone Beam CBCT 4-en-1 pour une imagerie dentaire précise, polyvalente et performante

L’ I-Max 3D XPRO est un système Cone Beam 4-en-1 polyvalent offrant une imagerie dentaire d’une précision remarquable.
En savoir plus
Taille compacte VistaPano 2DMeditec Dental à Toulon 83

Durr Dental VistaPano S 2D et Ceph : radiographie panoramique haute résolution pour diagnostics dentaires précis et confortables

Avec le VistaPano S 2.0, Durr Dental établit une nouvelle référence en matière de netteté d’image pour les clichés extra-oraux.
En savoir plus